Skip to main content
Go to the home page of the European Commission (opens in new window)
English English
CORDIS - EU research results
CORDIS

Determining the mechanisms behind goblet cell dysfunction

Periodic Reporting for period 1 - GCMech (Determining the mechanisms behind goblet cell dysfunction)

Reporting period: 2022-02-01 to 2024-07-31

A basic principle of all life is separation between an organism and its environment. Humans separate their inner tissues from the environment by engulfing them in an outer layer, the skin. The guiding principle of this separation is that the outer layer of the skin comprises dead epithelial cells, thus providing a physical barrier from intruders and harmful substances. It is tempting to think that our skin is the largest surface area of our body that interacts with the environment. Yet this is not true. The largest surface area that is exposed to the environment, is our intestine.

The surface area of the human intestine is roughly the size of a tennis court. Yet, unlike skin cells, intestinal epithelial cells do not have the privilege of being dead to form a barrier. This is because, unlike the skin, the intestine has a crucial role in absorbing nutrients from our diet. As these cells are alive, and face the outside world, they are equipped with microbial sensors that can identify virtually all microbial life (for example toll-like receptors). These sensors can then trigger a robust inflammatory response, as the intestinal tissue holds the largest number of immune cells in the body. To complicate things, these cells face one of the densest microbial ecosystems in the world, the gut microbiome, reaching densities of 10 to the power of 12 bacteria per gram of intestinal content. So, how does this work? Why do these microbes not constantly invoke an inflammatory response in the intestine?

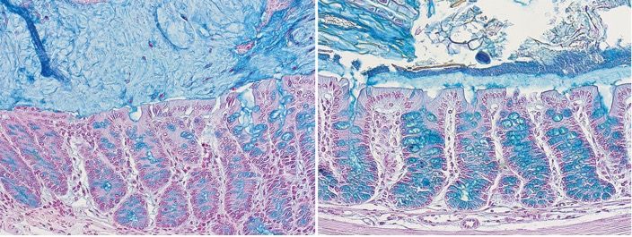
The answer is mucus. Every live tissue that faces the outside world, such as the lungs, urogenital tract, and the oral cavity, is covered in mucus (hence their name, mucosal tissues). This mucus provides separation between our live cells and the microbes in the environment while still allowing nutrients, gasses, and water to be absorbed. Mucus might sound ordinary and mundane, perhaps even annoying under some circumstances (such as having a cold), but it is in fact incredibly complex and modular. We recognize how important this mucus is in the instances where it fails. When mucus malfunctions in the lungs, we get diseases such as cystic fibrosis or asthma. When this mucus malfunctions in the intestine, we get inflammatory bowel diseases.

Inflammatory bowel diseases, such as Crohn’s disease and ulcerative colitis, are chronic illnesses of the intestinal tract. We do not know exactly why these chronic inflammations begin, or how to cure them. We do know however, that failure of the intestinal mucus layer, and penetrance of microbes through it, are hallmarks of inflammatory bowel diseases. Given the crucial role of the mucus layer in maintaining separation, we can understand why its failure, leading to constant contact between the intestinal tissue and the trillions of microbes in our gut, can develop into a chronic inflammation in which our immune system overreacts to our gut microbiome.
The goal our ERC-funded project, GCMech, is to understand how mucus-secreting goblet cells function during health and disease, and attempt to prevent their dysfunction during inflammatory bowel diseases.
We started by trying to answer a fundamental question: how does our body “know” how much mucus it needs to produce? If we produce too much mucus, we risk blocking our lungs and gut, which is what happens during cystic fibrosis. If we produce too few mucus, we become vulnerable to infections and development of inflammatory bowel diseases (IBD). Thus, there must be some feedback that controls the amount of mucus produced. Yet how functional levels of mucus production is maintained was a mystery.

We found that this regulation is performed by intracellular protein factory of the cell, the endoplasmic reticulum (ER). We showed that production of mucus and its proper folding leads to accumulation of ER stress, which then in turn slows mucus production. To alleviate this ER stress, the cells activate a recycling process known as autophagy. When we artificially activated autophagy, we could boost mucus production by reducing ER stress, and when we blocked autophagy, we hampered mucus production by inducing ER stress. However, this is where the plot (and the mucus) thickens.

We were surprised to find that this mode of regulation of mucus production was dependent on presence of bacteria in the gut. In sterile, germ-free mice, reducing ER stress did not trigger mucus production. Thus, the host needs to sense bacteria to produce proper amounts of mucus. We then wanted to know how this sensing of bacteria is performed. After chasing many dead ends, we finally discovered that the intracellular sensor of bacteria, NOD2, is needed for the cells to respond to bacteria and produce mucus. Therefore, mucus production is regulated by both ER stress and sensing of microbes via NOD2.

We next wanted to test whether artificially activating this axis can protect from gut inflammation. Indeed, we found that artificially boosting mucus secretion by manipulating this axis led to better mucus barrier function and protected mice from experimental models of IBD.
These discoveries are especially exciting considering the genetic landscape found in IBD patients. The two most common genetic mutations which predispose to development of IBD are in an autophagy-regulating gene (ATG16L1), and in NOD2.

To conclude, our finding that mucus secretion is controlled by genes which are commonly mutated in IBD patients pave a novel pathway for designing new treatment options for these devastating diseases.
Mucus production is dependent on ER stress and NOD2
My booklet 0 0