Skip to main content
Go to the home page of the European Commission (opens in new window)
English English
CORDIS - EU research results
CORDIS

Next-generation heart bypass grafts to naturally restore cardiovascular function.

Periodic Reporting for period 1 - HeartRestore (Next-generation heart bypass grafts to naturally restore cardiovascular function.)

Reporting period: 2022-12-01 to 2023-11-30

Coronary Artery Disease is caused by narrowing of heart arteries that supply blood, often due to atherosclerosis. Coronary artery bypass grafting (CABG) is the gold standard surgery to treat it, and it commonly involves harvesting patient’s veins from the legs as grafts. This collection affects patients causing chronic pain and costly complications. It also has a high failure rate with >20% implants occluded after 1 year. Xeltis has developed a unique restorative vascular graft (XABG) that eliminates the need for vein harvesting.

The implant provides a homing structure for cells in which cardiac and vascular tissues can be naturally restored, with the related advantages and benefits for patients and the healthcare system. We have proven our technology in first applications, as well as completed preclinical
studies successfully for XABG.

The goal of the project is to perform a full clinical validation to obtain a CE mark in Europe and start market deployment and commercial up-scaling.
- The preclinical results with the XABG restorative vascular graft in sheep have been submitted to and published in the Journal of the American College of Cardiology (JACC): Basic to Translational Science (https://www.jacc.org/doi/10.1016/j.jacbts.2022.06.021(opens in new window))

- First 3 First-in-Human EU patients have received successful implantations, but encountered occluded grafts at 30 days follow-up
- A scientific and clinical expert panel of 20+ global experts was formed to help root cause analysis and mitigation strategy
- This expert panel identified the following multifactorial root cause:
o Screening: small targets with suboptimal run-off and competitive flow
o Implant: long grafts, sub-optimal geometries
o Post-op care: medication regimen
o Prolonged bleeding during implantation
- As as result of this, the panel provided the following recommendations:
o Intensified DAPT (Dual Anti-Platelet Therapy) with Clopidogrel (8/9 KOLs) | Most tested and excepted in CABG surgery (ACS patients)
o Careful monitoring of post-operative bleeding and patient individual adjustment of anticoagulation (i.e. dose, timing of Heparin & DAPT)
o DAPT recommended for a least 12 months
o Heparin & Protamine management equally important
o CT-Angio and POD 1 to confirm early patency

- Additionally, Xeltis developed the XABG-XS device to reduce implant length in an attempt to better control oversizing and trajectory, investigated an external sealant/hemostat to reduce time to hemostasis at time of implantation (commercially available Coseal was selected as a fast degrading hydrogel that provides immediate hemostasis), developed of a heparin coating to provide an antithrombotic surface as an alternative and conducted 4 different animal studies to test and confirm Coseal, heparin, new medication regime

- Xeltis subsequently executed these expert recommendations through protocol changes, medication improvement, significant product development efforts and additional animal studies. However, European sites remained hesitant to enrol out of caution until additional clinical evidence would confirm feasibility resuming enrolment.

- Consequently, Xeltis performed a 7-patient trial in Paraguay to demonstrate effectiveness of mitigation measures to provide EU sites with human proof-of-concept data post 3 months follow-up data and continue EU FIH trial

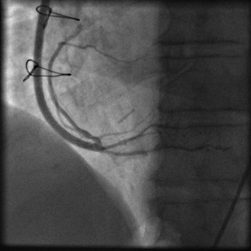
- In these additional clinical studies, the mitigation strategies identified have proven successful. Xeltis is now the first company in the world to show patent CABG conduit at 6-months of follow-up. In total, 9 out of the 15 First-in-Human patients have been enrolled.

- Excellent clinical data above have been received with great enthusiasm in European sites, with several new sites in process to be activated. Xeltis XABG remains the worlds most advanced solution as a suitable alternative to veins and targets to revolutionize the major CABG market with an restorative CABG Conduit
- Xeltis is now the first company in the world to show patent CABG conduit at 6-months of follow-up. Additionally, several patients have past the 1-month follow-up point with open XABG conduits.
- Xeltis XABG remains the worlds most advanced solution as a suitable alternative to veins and targets to revolutionize the major CABG market with an restorative CABG Conduit
- Excellent clinical data so far have reignited enthusiasm in European sites, with several new sites and activation on its way
o The current sites in Lithuania and Belgium have expressed their desire to restart enrolment
o Three additional sites in Poland and Germany (BfArM already approved the trial) wish to also become part of the study, following the demonstrated success in Paraguay. Submission in Poland has been completed


- CRO contract currently being amended to reactive the Lithuania and Belgium sites, as well as expand European FIH trial to Poland and Germany
- All patients are and will be first reviewed by reputable US KOLs; Prof Dr Martin Leon and Dr Isaac George from Columbia University Medical Center
- We started conversations with the FDA on regulatory requirements and clinical design, incl. a pre-submission. FDA Scrutiny is important to us as it will increase likelihood of acceptable clinical design and surrogate endpoints in Europe (as notified body feedback in Europe is no longer feasible under the MDR)
Follow-up of patient with open XABG Conduit
Visual Abstract of Ono M, et al. J Am Coll Cardiol Basic Trans Science
My booklet 0 0