Skip to main content
Ir a la página de inicio de la Comisión Europea (se abrirá en una nueva ventana)
español español
CORDIS - Resultados de investigaciones de la UE
CORDIS

Multimodal imaging of the in vivo fate of bone transplants

Periodic Reporting for period 2 - VIVOIMAG (Multimodal imaging of the in vivo fate of bone transplants)

Período documentado: 2017-06-01 hasta 2019-05-31

Millions of bone grafts are being performed worldwide to repair large segments of bone lost due to trauma, surgery and other causes. It is estimated that the bone graft market exceeds $2.5 billion/year. A continuously ageing population forecasts a steady increase in those numbers. Autologous bone transplants (those in which the recipient and donor are the same patient) have large osteogenic potential and present no biocompatibility problems, but they have several problems and risks that can be avoided using engineered tissue. Bone harvests, mostly taken from the iliac crest, rib, fibula, or tibia of the patients’ bone, do not always provide sufficient quantities, and can be associated with potential complications of pain, blood loss, infection, and radiation injury. On the other hand, engineered tissue does not have these drawbacks. In addition, it is also cost effective, since it can be produced and delivered to the patient at a point of care environment. However, there are important challenges to address since the technology strongly relies on the correct cell differentiation within the scaffold, therapeutic solutions that use adult bone marrow derived cells lack the complexity and structure associated with the bone tissue required for repair and lack of vascularisation in the engineered tissue result in necrosis after implantation. Thus the need for novel and efficient methods to produce efficient bone grafts, as well as assess the success of bone treatments has high social importance.
The main objective of VIVOIMAG is to develop bone implants including a new contrast agent sensitive to enzymatic activity of metaloproteases, which will permit for the first time to follow the integration and cell differentiation activity in bone tissue bioreactors in vitro and in grafts in vivo using non invasive imaging techniques. The final goal of the project is to provide this collagen based contrast agent and use standard MRI as a tool to assess the efficiency of new bone treatments. In this way a clinically available, non invasive and affordable technology will be exploited for tissue engineering.
After the completion of the action, these goals were indeed met. Bone implants were designed and constructed providing the ability to promote enzymatic activity of metaloproteases and the capability to be labeled with different contrast agents. Thus, they can be monitored through multi-modal imaging techniques. In addition, a complete multi-modal imaging platform, that enables the complementary efficiency evaluation of new bone graphs, has been established.
WP1 activities focused on the management of the project, the organization of project meetings; the monitoring of the progress on daily basis; the finalization of project reports and deliverables; the approval of payment orders; the quality assessment of project outcomes, the monitoring of ethical issues and the monitoring gender equality and major society-related aspects. All the mentioned activities were covered successfully, providing an efficient management support and monitoring of the project, helping and boosting all the relevant activities.

WP2 focused on developing magnetically modified contrast agents for MRI imaging that are sensitive to enzymatic activity and radiolabel them to work also as contrast agents for nuclear imaging. Different methodologies were used to attach MNPs on the collagen and to test through several characterization techniques the resulting structural, stability, magnetic and sensitivity to enzymes activity related properties. As a result, contrast agents that are magnetically modified for MRI imaging and that are sensitive to enzymatic activity were created, also in a form that is easily radiolabelled to also act as nuclear scintigraphic contrast agents.

WP3 focused on incorporating contrast agents into 3D high-density bone grafts and hydrohyapatite microparticles to read non-invasively metaloprotease activity in multicell bioreactors in vitro and in vivo.
The method to incorporating the MNPs to the mineralized scaffold was established and samples were characterized using infrared spectroscopy, thermal gravimetry, X ray diffraction, SEM, AFM and magnetic studies. Once the hybrid Coll/HA material was prepared, it was extensively washed and lyophilized and sterilized through gamma rays to prepare the scaffold materials ready to use in the in vivo experiments.
As a result, incorporating the MNPs to the mineralized scaffold was successfully performed, creating homogeneously labelled materials that have been confirmed to properly allow bone regeneration.

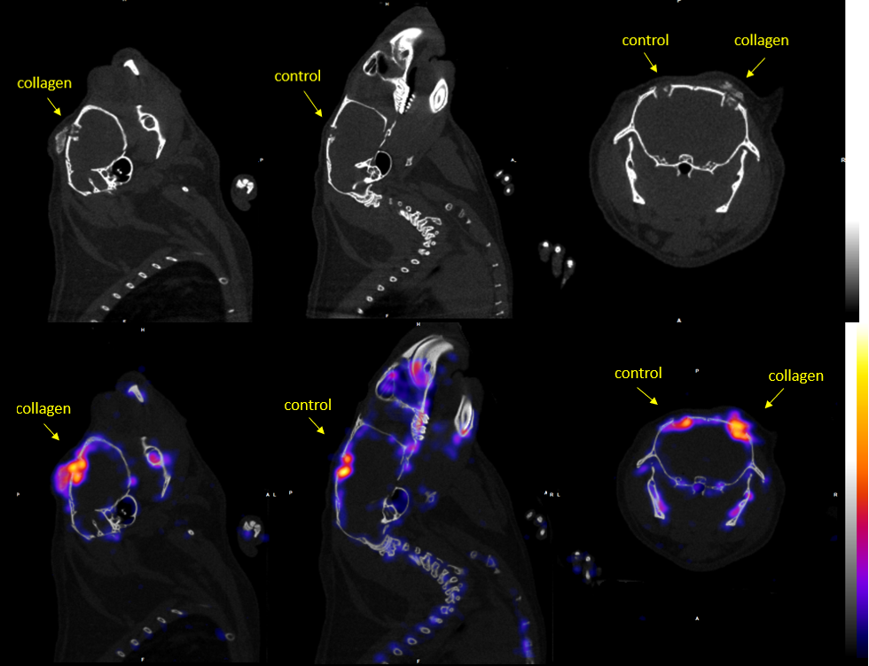
WP4 focused on following the evolution of cell differentiation, inflammation and integration of grafts in animal models using non-invasive imaging.
The main task of this WP, included the creation of an animal defect model and the dispersion of the prepared collagen material on the small animal bone injury models (mice) to be monitored through SPECT and CT imaging. The procedure to also incorporate the magnetic nanoparticles (MNPs) as a contrast agent was followed and MRI tests were performed to validate the image contrast induction.
Results proved the creation and establishment of a complete imaging platform that can non-invasively monitor the evaluation of new bone graphs, in bone formation schemes, through multi-modal imaging. The complementary information gathered through SPECT, CT and MRI imaging was demonstrated and exploited towards the creation of the imaging platform.

WP5 focused on ensuring efficient communication and dissemination of project outcomes to dedicated and broader audience, incorporating several training activities. By the closing of the project the several activities were completed including:
Creation of project logo, poster, brochure and website. Citation in social media.
Participation in public events, workshops, conferences, satellite events.
2 publications in peer-review journals.
Training activities (1 summer school, 2 courses, 1 PhD thesis, 1 scholarship).
The project is positioned in the field of biomedical engineering and preclinical and clinical research. The domain of bone regeneration has very good potential to have social impact, since it addresses issues related to aging and thus can potentially affect all citizens. The approach of using nanotechnology to non-invasively, early asses the treatment of bone defects is novel and can be clinically translated if the use of collagen, decorated with MNPs is proven to detect enzymatic activity. At the moment, several variations and combinations of nanoparticles and collagen are tested, in order to define, which have the potential to provide MR contrast, since the proper selection initial biomaterials is critical for successful proof of project hypothesis. In addition, the techniques available in the consortium are explored and further optimized, since it is the first time that multimodal approaches are used in bone regeneration combined with nanomedicine. Thus, the results of this work will be reference data from future research. Finally, the development of proper animal models and imaging protocols is also unique and careful steps are needed, to establish and test procedures, which can be further exploited in tissue engineering research.
Experimental results of SPECT/CT imaging of bone tissue regeneration
Mi folleto 0 0