Skip to main content
Go to the home page of the European Commission (opens in new window)
English English
CORDIS - EU research results
CORDIS

Neural decisions under uncertainty

Periodic Reporting for period 4 - NOISYDECISIONS (Neural decisions under uncertainty)

Reporting period: 2021-06-01 to 2022-10-31

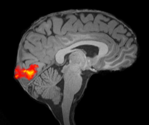
Virtually anything we sense, think and do is uncertain. For instance, when driving a car, you often need to determine how close you are to the car in front of you. It is near impossible to estimate this distance with absolute certainty – but it is possible to guess and even to estimate the uncertainty associated with that guess. Accordingly, we reduce speed when driving at night, because we realize perceived distance is more uncertain in the dark than on a sunny, clear day. How do we infer that visual information is less reliable at night? How does the brain represent knowledge of sensory uncertainty? How do we decide to reduce speed? The overall aim of this project is to investigate the neural basis of perceptual decision-making under uncertainty. We concentrate on three major research questions: 1) To what extent is sensory uncertainty represented in neural population activity? 2) Are people aware of this uncertainty when they are making decisions? 3) What sources of noise cause this uncertainty in one’s perceptual decisions? We address these questions using functional magnetic resonance imaging (fMRI), in combination with novel analytical tools to analyzing fMRI data that we ourselves develop. This novel approach enables us to characterize, on a moment-to-moment basis, the uncertainty in cortical stimulus representations, and to address unresolved issues regarding the neural basis of human perceptual decision-making. The results from this project provide important new insights into the neural basis of perceptual decisions, with profound implications for theories of cortical visual function. Given that mechanisms of visual decision-making likely resemble the mechanisms underlying other forms of decisions throughout the brain, this research also provides a basis for understanding choice under uncertainty in general.
We have developed and fine-tuned novel analytical tools to analyzing fMRI data. Doing so has enabled us to characterize, on a moment-to-moment basis, the uncertainty in cortical stimulus representations.

Using this novel approach, we have established that sensory uncertainty is represented in neural population activity. For example, we have found that uncertainty about the orientation of simple line elements, or the direction of movement of clouds of dots, is represented in neural activity in the human visual cortex.

No less important, we have also discovered that this neural representation of uncertainty affects the way people make decisions. That is, when cortical stimulus representations are less reliable, people’s decisions are both more imprecise (more variable) and more biased.

Together, these results have major implications for theories of cortical visual function and visual decision-making.
The results of this project have important theoretical and methodological implications.

The results from this project provide important new insights into the neural basis of perceptual decisions, with profound implications for theories of cortical visual function. Given that mechanisms of visual decision-making likely resemble the mechanisms underlying other forms of decisions throughout the brain, this research also provides a basis for understanding choice under uncertainty in general.

Our novel data analysis tools also present an important methodological advancement. Our newly developed approach makes it possible, for the first time, to characterize on a moment-to-moment basis the degree of imprecision in all sorts of information that the brain represents.
localizer-activation.png
My booklet 0 0