Skip to main content
Ir a la página de inicio de la Comisión Europea (se abrirá en una nueva ventana)
español español
CORDIS - Resultados de investigaciones de la UE
CORDIS

Article Category

Contenido archivado el 2023-01-20

Article available in the following languages:

Investigadores españoles utilizan el cannabis para reducir tumores cerebrales

Según el criterio de un grupo de investigadores españoles, un extracto activo de la planta del cannabis podría ser utilizado para reducir el tamaño de tumores cerebrales y otros tipos de cáncer, al restringir su capacidad de aumentar los vasos sanguíneos para alimentarse. Seg...

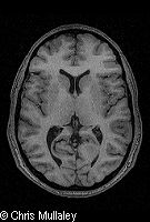
Según el criterio de un grupo de investigadores españoles, un extracto activo de la planta del cannabis podría ser utilizado para reducir el tamaño de tumores cerebrales y otros tipos de cáncer, al restringir su capacidad de aumentar los vasos sanguíneos para alimentarse. Según la publicación New Scientist, Manuel Guzmán y sus colegas de la Universidad Complutense de Madrid utilizaron el extracto de cannabis delta-9- tretahidrocannabinol en ratones y voluntarios humanos con el objetivo de bloquear un químico necesario para la angiogénesis, capacidad de los tumores para formar vasos sanguíneos. El extracto demostró su eficacia incluso en pacientes con el tipo de cáncer cerebral más agresivo. El equipo subraya que los resultados son preliminares y que el estudio está en desarrollo, aún así lo describen como un buen punto de partida. Cristina Blázquez, miembro del equipo, declaró a New Scientist: "el cannabinoide inhibe el efecto de la angiogénesis. Si un tumor no realiza la angiogénesis, no crece. De modo que si por un lado podemos mejorar la angiogénesis y por otro matar las células cancerígenas, podemos intentar crear una terapia para el cáncer". Para la obtención de estos resultados el equipo examinó los resultados del extracto de marihuana en 30 ratones. Observaron que bloqueaba la expresión de varios genes relacionados con la producción del factor de crecimiento endotelial vascular (VEGF). El VEGF es necesario para la angiogénesis, ya que posibilita que el tumor desarrolle una cadena de vasos sanguíneos para fortalecer su crecimiento. En los ratones y en dos pacientes humanos con cáncer cerebral, el cannabinoide disminuyó notablemente la actividad del VEGF. Observamos que los tumores de los ratones eran más pequeños y ligeramente pálidos"aseguró Blázquez, añadiendo que la palidez reflejaba su falta de aporte de sangre. Sobre el tratamiento en pacientes humanos, declaró parece funcionar pero aún es demasiado pronto. Richard Sullivan, jefe de los Programas Químicos de Investigación sobre el Cáncer en el Reino Unido, afirmó que esta investigación proporciona un nuevo compuesto básico para drogas anti-cáncer dirigidas al abastecimiento de sangre del tumor. Aunque este trabajo se encuentra en una primera etapa de desarrollo, otras investigaciones han demostrado que el VEGF es un importante objetivo para los medicamentos en varios tipos de cáncer.

Países

España

Artículos conexos

Mi folleto 0 0