Skip to main content
Aller à la page d’accueil de la Commission européenne (s’ouvre dans une nouvelle fenêtre)
français français
CORDIS - Résultats de la recherche de l’UE
CORDIS
Contenu archivé le 2024-05-27
Enhancement of clinical value of functional imaging through automated removal of partial volume effect

Article Category

Article available in the following languages:

Des techniques d'imagerie cérébrale nouvelle génération

L'imagerie médicale a évolué pour devenir une discipline extrêmement technique ces dernières années et fournit désormais des images en temps réel de la structure et des fonctions.

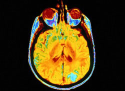
L'imagerie cérébrale est particulièrement difficile de nombreux points de vue et est également handicapée par des problèmes de faible résolution, qui provoquent une «contamination» de l'image par les structures environnantes. Le problème est encore plus manifeste lorsqu'il y a une atrophie, comme dans la maladie d'Alzheimer. Le projet PVEOUT financé par l'UE a entrepris de développer les technologies existantes et de surmonter les limitations actuelles afin d'obtenir des images fonctionnelles d'une plus grande précision. La forme et la taille des images fonctionnelles peuvent être corrigées sur la base des structures cérébrales correspondantes. La nécessité de valider ces images fonctionnelles et leur analyse a conduit à l'utilisation de «fantômes cérébraux» anthropomorphiques, qui consistent essentiellement en des mannequins ressemblant à l'homme. Ces fantômes physiques ont permis aux chercheurs et aux praticiens d'«acquérir un certain contrôle» sur la forme de l'objet et les propriétés des matériaux. Par conséquent, l'utilisation de fantômes évolués pourrait accroître le champ d'application des technologies disponibles et établir de nouvelles normes pour l'industrie du diagnostic. Des chercheurs de l'IBB-CNR, en Italie, ont mis au point un nouveau fantôme anthropomorphique à plusieurs compartiments appelé STEPBrain et adapté à l'imagerie PET/SPET et CT/MR. STEPBrain semble être unique au niveau mondial et a été créé pour contenir des compartiments distincts et indépendants, un pour la matière grise et l'autre pour la blanche. STEPBrain peut être utilisé pour valider diverses méthodologies de correction de l'effet de volume partiel dans des images de faible résolution et est peut-être la seule application à couvrir cet aspect. À ce titre, le potentiel de STEPBrain est donc énorme. Les développeurs sont désireux d'attirer des licences émanant de l'industrie du diagnostic et sont prêts à discuter d'une série de modèles de collaboration.

Découvrir d’autres articles du même domaine d’application

Mon livret 0 0